国产氧化锆修复视频大全,全方位解析与实操技巧

你有没有发现,最近在网络上流行起了一个神奇的东西——国产氧化锆修复视频大全!是不是觉得这个名字有点陌生?别急,让我带你一探究竟,看看这个视频大全到底有什么魅力,能让网友们纷纷追捧。

一、国产氧化锆修复,了解一下?

首先,得先弄明白什么是国产氧化锆修复。简单来说,就是利用国产氧化锆材料对牙齿进行修复的一种技术。这种材料具有高强度、高耐磨、生物相容性好等优点,在口腔修复领域越来越受欢迎。

二、视频大全,带你走进修复世界

那么,这个国产氧化锆修复视频大全究竟有什么内容呢?让我带你一探究竟。

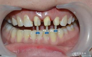
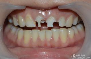
1. 修复案例展示:视频大全中收录了大量的修复案例,从简单的牙齿美白到复杂的牙齿矫正,应有尽有。通过这些案例,你可以直观地看到国产氧化锆修复的效果,感受这项技术的神奇魅力。

2. 修复过程解析:视频大全中不仅有修复案例,还有详细的修复过程解析。从材料选择、设计制作到安装完成,每一个环节都进行了详细的讲解,让你对整个修复过程有一个清晰的认识。

3. 专家访谈:视频大全还邀请了口腔修复领域的专家进行访谈,分享他们的经验和心得。通过这些访谈,你可以了解到国产氧化锆修复的最新动态和行业趋势。

三、国产氧化锆修复,优势明显

为什么国产氧化锆修复这么受欢迎呢?原因有以下几点:

1. 材料优势:国产氧化锆材料具有高强度、高耐磨、生物相容性好等优点,能够满足各种口腔修复需求。

2. 技术成熟:随着技术的不断进步,国产氧化锆修复技术已经非常成熟,修复效果稳定可靠。

3. 价格亲民:相比进口材料,国产氧化锆材料价格更加亲民,让更多人能够享受到高质量的口腔修复服务。

四、视频大全,实用性强

这个国产氧化锆修复视频大全不仅内容丰富,而且实用性非常强。以下是一些亮点:

1. 操作简便:视频中的修复过程讲解清晰易懂,即使是初学者也能轻松上手。

2. 互动性强:视频大全中设置了评论区,你可以随时发表自己的疑问和看法,与其他网友互动交流。

3. 更新及时:视频大全会定期更新,让你第一时间了解到最新的修复技术和案例。

五、

国产氧化锆修复视频大全是一款非常实用的口腔修复学习工具。通过观看这些视频,你可以了解到国产氧化锆修复的最新动态,学习到实用的修复技巧,为自己的口腔健康保驾护航。快来加入这个大家庭,一起探索国产氧化锆修复的奥秘吧!

上一篇:国产恐怖怪老头视频下载,惊悚视频下载背后的神秘传说
下一篇:酒吧搭讪国产视频,国产视频中的浪漫搭讪技巧揭秘